Descubre como cuidar de tu sonrisa y la de tu familia en nuestro Blog de cde. Sumérgete en un mundo de información fresca, consejos prácticos y tratamientos innovadores para mantener tu salud dental en óptimas condiciones en las siguientes categorias:
Cuidado y Salud OralOdontología infantilOdontología para niñosOdontopediatríaTratamientos de ortodoncia
La dentición temporal: mucho más que “dientes de leche”
Ver “dos filas de dientes” puede impresionar, pero en muchos casos es parte del proceso…
Sonrisas desde el primer día:
Lo que muchas mamás no saben sobre los dientes entre los 0 y 8 años…
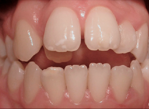
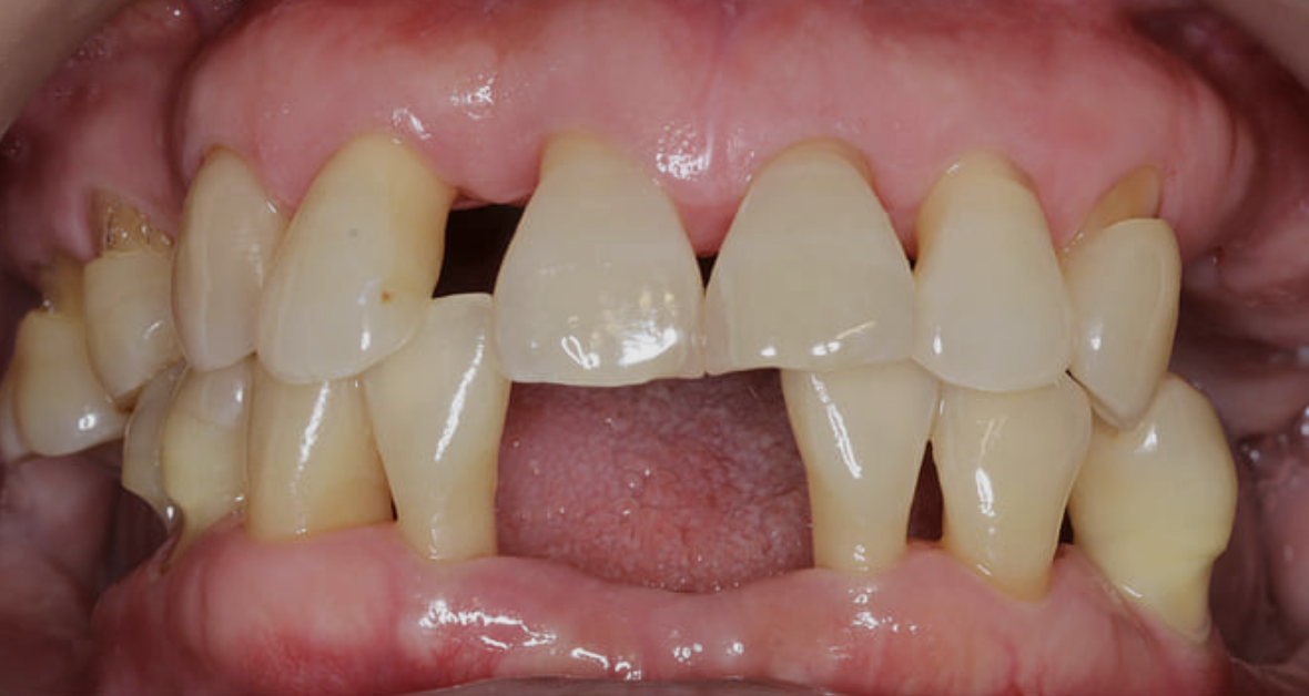
Recuperar tu sonrisa después de perder un diente, siempre es posible.
Perder uno o varios dientes no sólo afecta la estética. Impacta la forma en que…
La importancia de no postergar tu visita al odontólogo: salud, prevención y estabilidad a largo plazo
Como ortodoncista y odontóloga, una de las frases que más escucho en consulta es: “Doctor,yo sólo…
Férulas oclusales: aliadas del éxito de tu nueva sonrisa
Descubre cómo las férulas oclusales ayudan a mantener tu diseño de sonrisa o rehabilitación oral….
Errores comunes que retrasan tu tratamiento de ortodoncia
Descubre los errores que pueden retrasar tu ortodoncia y cómo evitarlos. Consejos de CDE para…
Cuidados después de un implante dental: guía del especialista CDE
Aprende los cuidados esenciales tras un implante dental. Consejos del equipo de CDE para mantener…
Carillas dentales perfectas: belleza y salud en armonía | CDE
Una sonrisa hermosa comienza con una boca sana. En Clínica CDE realizamos carillas estéticas y…
¿Por qué los dientes pueden moverse después de la ortodoncia y la importancia de la retención?
En nuestra experiencia con la ortodoncia, lograr una alineación perfecta no es el final del…





