Como ortodoncista y odontóloga, una de las frases que más escucho en consulta es: “Doctor,yo sólo necesito una limpieza dental, para que revisarme si no no me duele nada, ahora no tengo tiempo”. Sin embargo, cuando hablamos de la boca, la ausencia de dolor no significa ausencia de enfermedad. Postergar una revisión odontológica puede transformar un problema pequeño y manejable, en una situación compleja, costosa y más invasiva.
Más que estética: la salud comienza en la oclusión
Cuando hablamos de ortodoncia, muchas personas piensan inmediatamente en dientes desalineados y sonrisa estética. Sin embargo, la correcta posición de los dientes y la armonía entre maxilares —lo que llamamos oclusión funcional— impacta directamente en:
- La salud de las encías
- La correcta higiene dental
- La estabilidad de la articulación temporomandibular
- La masticación eficiente
- La fonación adecuada
- La prevención de desgastes dentarios prematuros
Una maloclusión no tratada puede favorecer:
- Acumulación de placa en zonas de difícil acceso
- Inflamación gingival crónica
- Recesión de encías
- Movilidad dental
- Dolores musculares o articulares
- Alteraciones del sueño
La prevención comienza con una revisión clínica oportuna, no necesariamente con el inicio inmediato de un tratamiento con brackets
¿Por qué no conviene “esperar un poco más”?
Muchas alteraciones dentales y ortodóncicas son progresivas. Algunas razones para no postergar la consulta son:
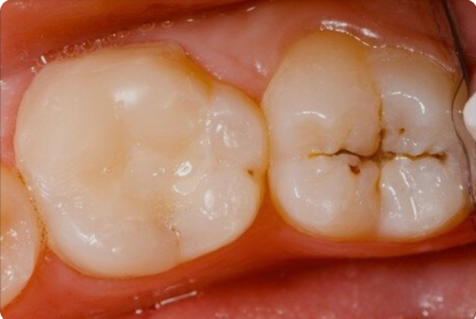
- Las caries iniciales no duelen. En etapas tempranas, una caries puede tratarse con procedimientos mínimos. Si se deja avanzar, puede requerir tratamientos más complejos como endodoncia o incluso extracción.

Fig. 1. Caries incipiente
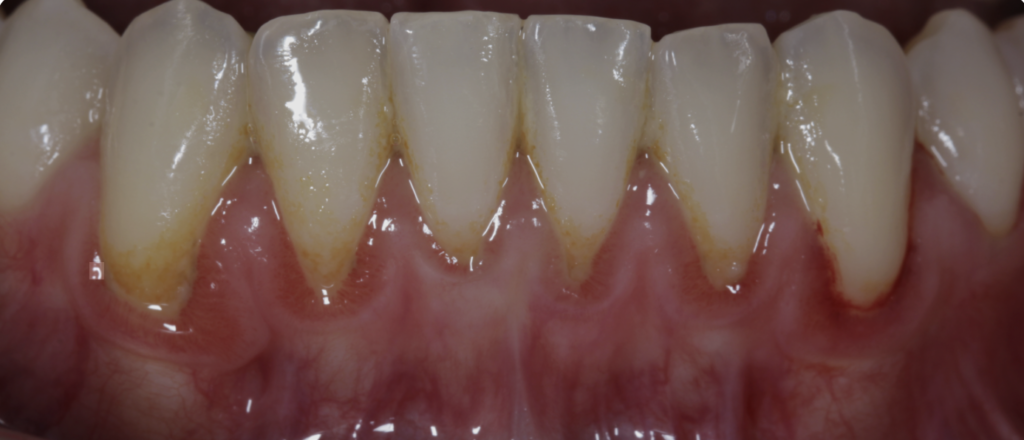
2. La enfermedad periodontal es silenciosa
La inflamación de encías suele comenzar sin dolor. Cuando aparecen síntomas evidentes, el daño puede ser significativo.

Fig. 2. Enfermedad periodontal
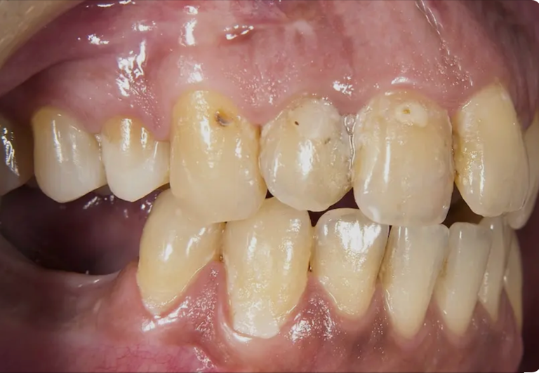
3. Los problemas de mordida empeoran con el tiempo
En niños y adolescentes, una evaluación temprana permite guiar el crecimiento y evitar tratamientos más invasivos en la adultez. En adultos, la progresión puede generar desgaste, movilidad o sobrecarga articular.


Fig.3 Maloclusión en niños y en adultos
4. La pérdida de piezas altera todo el sistema
Cuando se pierde un diente y no se reemplaza, los dientes vecinos se desplazan, se altera la mordida y pueden aparecer nuevos problemas funcionales.

Para recordar:
Cada paciente es único. No todos necesitan brackets, pero todos necesitan prevención. La revisión odontológica permite:
- Detectar alteraciones tempranas
- Planificar tratamientos menos invasivos
- Evitar costos mayores en el futuro
- Conservar dientes naturales el mayor tiempo posible
Postergar una consulta rara vez mejora la situación. En cambio, una evaluación oportuna brinda tranquilidad, información y control.
Respecto al tratamiento de ortodoncia, un tratamiento con brackets, minitubos o con alineadores no debe verse sólo como un logro estético. Cuando está correctamente indicado y planificado, contribuye a:
- Distribuir adecuadamente las fuerzas de mordida
- Facilitar la higiene oral
- Reducir riesgo de desgaste irregular
- Mejorar la estabilidad periodontal
- Optimizar la función masticatoria
Incluso quienes ya finalizaron el tratamiento de ortodoncia necesitan controles periódicos. La estabilidad requiere seguimiento. ¿Por qué? Porque la boca es parte de tu salud general. Existe evidencia científica que relaciona la salud periodontal con condiciones sistémicas como:
- Enfermedades cardiovasculares
- Diabetes
- Complicaciones en el embarazo
Mantener una boca sana es también proteger tu bienestar general.
Visitar al odontólogo no es solo una decisión estética; es una inversión en salud. La prevención, el diagnóstico temprano y el seguimiento profesional son las herramientas más poderosas para mantener una oclusión funcional, encías sanas y dientes fuertes a lo largo de la vida.
Tu sonrisa no es sólo una carta de presentación: es parte esencial de tu salud integral.
Cuidarla hoy evita complicaciones mañana.





