Perder uno o varios dientes no sólo afecta la estética. Impacta la forma en que masticas, hablas, sonríes e incluso cómo se distribuyen las fuerzas en tu boca.

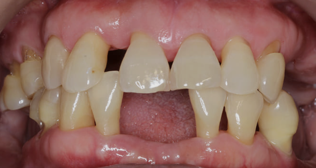
Fig 1. Pérdidas dentales
En la Clínica Dental Especializada CDE recibimos con frecuencia pacientes que desean recuperar su sonrisa, pero se enfrentan a una decisión importante: ¿qué tratamiento elegir?
Es natural que la primera opción que se considere sea la más económica. Sin embargo, en odontología restauradora debemos entender algo fundamental: La opción más barata casi nunca es la opción ideal. Y cuando hablamos de salud oral, elegir correctamente marca la diferencia entre una solución temporal y una solución definitiva.
¿Qué ocurre cuando se pierde un diente?
Muchas personas creen que si la ausencia dental no duele, no es urgente reemplazarla. Sin embargo, el cuerpo comienza a experimentar cambios progresivos:
- Migración de los dientes vecinos
- Extrusión del diente opuesto
- Pérdida progresiva de hueso en la zona
- Alteraciones en la mordida
- Sobrecarga en otras piezas
- Cambios en el perfil facial con el tiempo
Fig 2. Cambios patológicos progresivos
El organismo se adapta, sí. Pero no siempre de forma saludable.
Las opciones más económicas: ¿qué implican?
Entre las alternativas tradicionales encontramos prótesis removibles o puentes fijos convencionales. Si bien pueden ser soluciones válidas en ciertos casos, es importante comprender sus limitaciones:


Fig. 3. Prótesis Removibles Metálicas y Acrílicas

Fig. 4. Prótesis Fija
- Pueden requerir desgaste de dientes sanos vecinos
- No detienen la pérdida ósea
- Pueden generar incomodidad o movilidad con el tiempo
A corto plazo pueden representar menor inversión. A largo plazo, pueden requerir ajustes, reemplazos o tratamientos adicionales.
Los Implantes dentales: una solución biológica y funcional
Los implantes dentales representan hoy la alternativa más predecible y conservadora para reemplazar dientes perdidos.
Un implante actúa como una raíz artificial que se integra al hueso mediante un proceso llamado osteointegración. Sobre esta base se coloca una corona fija que funciona y se siente como un diente natural.


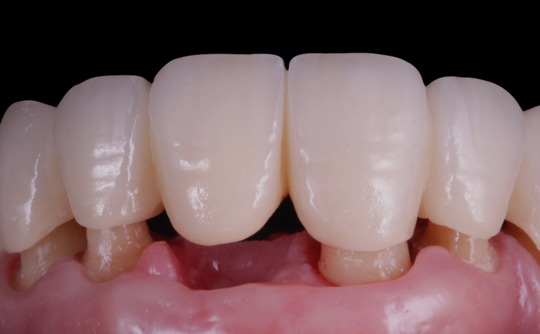
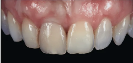
Fig. 5. Implante dental y Corona Implantosoportada
¿Por qué son considerados la opción ideal?
✔ Preservan el hueso y evitan su reabsorción
✔ No requieren desgastar dientes vecinos
✔ Recuperan la fuerza masticatoria cercana a la natural
✔ Ofrecen estabilidad y comodidad
✔ Mejoran la estética y la seguridad al sonreír
✔ Presentan alta tasa de éxito cuando son bien planificados
Más que reemplazar un diente, el implante restaura la estructura completa perdida.
¿Por qué muchos pacientes los postergan?
A pesar de sus beneficios, algunos pacientes dudan debido a:
1. Desinformación: asocian el procedimiento con cirugías complejas o dolor intenso, cuando en realidad se realiza bajo anestesia local, con técnicas mínimamente invasivas y recuperación controlada.
2. Temor: El miedo es natural, pero con protocolos actuales y planificación digital, el procedimiento es seguro y altamente predecible.
3. Enfoque exclusivo en el costo inicial: Comparar únicamente el valor inmediato puede llevar a decisiones que, con el tiempo, resultan más costosas tanto económica como biológicamente.
En CDE trabajamos bajo un enfoque integral que incluye:
- Evaluación clínica detallada
- Estudios radiográficos especializados
- Planificación digital personalizada
- Materiales de alta calidad
- Protocolos quirúrgicos seguros
- Seguimiento postoperatorio riguroso
Nuestro compromiso no es ofrecer “lo más rápido” ni “lo más económico”, sino lo más adecuado para tu salud a largo plazo. Cada caso es único y en este principio radica la importancia de una valoración profesional:
No todos los pacientes presentan las mismas condiciones. Para indicar el tratamiento ideal evaluamos:
- Cantidad y calidad de hueso disponible
- Estado de encías y tejidos de soporte
- Condiciones médicas generales
- Expectativas estéticas y funcionales
- Alternativas protésicas disponibles
- Posibilidades de tratamiento por fases
En muchos casos, existen planes personalizados y alternativas de acceso que permiten realizar el tratamiento de manera organizada y planificada.
Invertir en salud no es un gasto, es una decisión estratégica
Elegir únicamente por precio puede significar comprometer la estructura dental sana, perder hueso o requerir tratamientos adicionales en el futuro. Elegir correctamente significa:
- Preservar tu biología
- Mantener estabilidad funcional
- Mejorar tu calidad de vida
- Recuperar seguridad al sonreír
Si has perdido uno o varios dientes y estás buscando una solución, te invitamos a realizar una valoración integral en la Clínica Dental Especializada CDE.
Tomar una decisión informada transforma completamente la perspectiva. Nuestro objetivo es explicarte con claridad cada opción y acompañarte para que recuperes función, estabilidad y confianza. Estamos listos para acompañarte en ese proceso.





